A young woman with glasses, smiling at the camera while working on a laptop in an office setting.

Smile Gallery

A young woman with glasses, smiling at the camera while working on a laptop in an office setting.
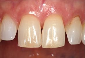
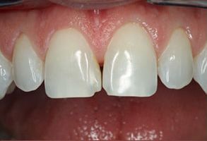
The image shows a close-up of a person s mouth with yellowed teeth and some missing, revealing the gums.

Before

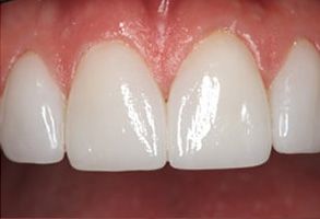
The image shows a close-up of a person s mouth with a radiant smile, displaying white teeth and gums.

After

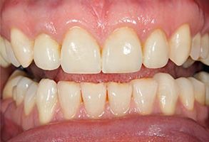
The image shows a close-up of a person s teeth with yellowing, indicating the need for dental care or cosmetic procedures.

Before

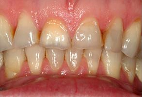
An image of a person s teeth with a focus on the lower front teeth, showcasing a yellowish-brown discoloration.

After

Smiling man with a prominent gap in his teeth, showcasing a close-up of his mouth and teeth.

Before

The image shows a close-up of a person s mouth with teeth, lips, and facial hair visible.

After

Alt text  Close-up of a person s teeth with a focus on a yellowish stained tooth, showcasing dental hygiene concerns.

Before

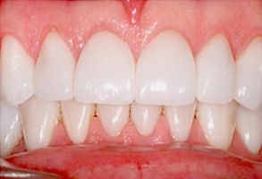
The image displays a close-up of a person s teeth, showcasing a bright white smile with a focus on the front teeth.

After

The image displays a close-up of an open mouth with multiple teeth showing, some of which appear to have undergone dental procedures such as bleaching or veneers.

Before

The image shows a close-up of a person s teeth with a focus on the bottom row, which includes a dental implant and natural teeth.

After

The image shows a close-up of a person s mouth with a focus on the teeth, which appear to be in need of dental care.

Before

Image of a close-up view of a person s teeth with a focus on a large, bright smile.

After

The image shows a close-up of a person s teeth with visible staining and discoloration, emphasizing dental hygiene issues.

Before

The image displays a close-up of a person s teeth, showing a set of white teeth with some yellowing and staining, particularly around the gumline.

After

Contact Us

Schedule your appointment online or give us a call to get started today.

One Stop Dental 3554 Promenade Pkwy, Lafayette, IN 47909